DentAlign

Mastering clear aligners:
Creating Cost-Effective & Efficient Solutions.

Mastering clear aligners:
Creating Cost-Effective & Efficient Solutions.

Dentalign is a program to further enhance Dentists skills on the principles and practice of orthodontic tooth movements using Clear Removable Aligners. It would give them confidence to use different clear aligner software platforms. Ideally, dentists would already have had some experience with clear removable aligners.

As part of this program you will learn:

  • Treatments that can be carried out
  • Orthodontic Teeth Movements Types
  • Diagnostic requirements
  • Limitations: Braces versus Aligners
  • How and when to use attachments
  • IPR - how and when to use
  • Available softwares and evaluation tools
  • Staging the aligners & estimating treatment times
  • Intra-oral 3D Scanning
  • Clinical Troubleshooting

The program is run by specialist orthodontist Andrew Chang, who has been undertaking clear aligner treatment over the past 12 years. For the past 5 years, he has used a variety of different clear aligner companies and has treated more than 1000 patients with clear removable aligners. Over the past few years, he has been fabricating in-office aligners for the treatment of simple and moderate cases, and continues to do so on a daily basis.

Cost Comparison: In office aligners Vs External Aligner Company A & B

1 arch treatment with 6 aligners

Printed in your office & made by  Dental Assistant
$209*

Printed by External Lab & made by  Dental Assistant
$293**


External Aligner Company A
$850***


External Aligner Company B
$529***

*$6(resin cost/model), $45 (labour), $115 (ARCAD/X-plan), $4 (case & bag), $9 (aligners) **Lab fee $169, $115 (ARCAD/X-plan), $45 (labour), $4 (case & bag), $9 (aligners) ***Current fee charged for comparable product by 2 different major aligner companies

Biggest Advantage is the FASTER Turnaround.
Patients love being able to get their aligners sooner

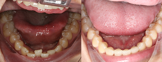
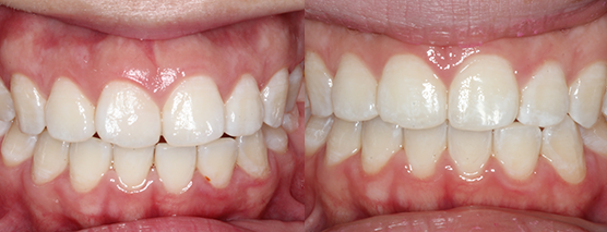
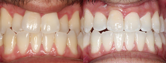
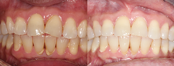
Case examples that can be treated in your practice.
(Cases treated by Dr Andrew Chang using in office aligner solutions)

Before

After

Before

After

Before

After

Before

After

Before

After

Before

After

Cost Comparison: In office aligners Vs External Aligner Company

1 arch treatment with 6 aligners

Printed in your office & made by  Dental Assistant
$209*

Printed by External Lab & made by  Dental Assistant
$293**

External Aligner Company A
$850***

External Aligner Company B
$529***

*$6(resin cost/model), $45 (labour), $115 (X-plan), $4 (case & bag), $9 (aligners) **Lab fee $169, $115 (X-plan), $45 (labour), $4 (case & bag), $9 (aligners) ***Current fee charged for comparable product by major aligner companies

Biggest Advantage is the FASTER Turnaround.
Patients love being able to get their aligners sooner

Case examples that can be treated in your practice.
(Cases treated by Dr Andrew Chang using in office aligner solutions)

© Copyright 2020

info@dentalign.com.au

02 7228 8231

[bot_catcher]